Vaka Sunumu: Haglund Deformitesi Tedavisi
📌 Hastanın Başvuru Şikâyeti
36 yaşında kadın hasta, yaklaşık 1 yıldır iki topuğunda ağrı ve yürürken zorlanma şikâyetiyle kliniğimize başvurdu.
🔎 Yapılan Tetkikler
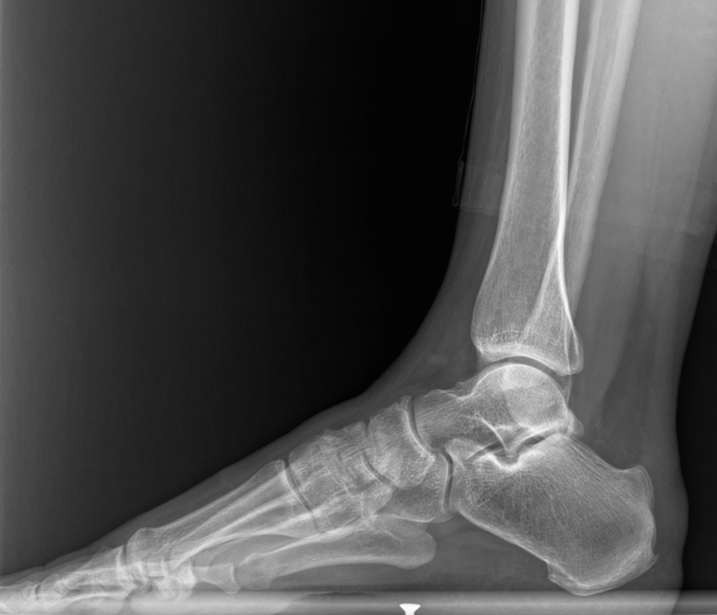
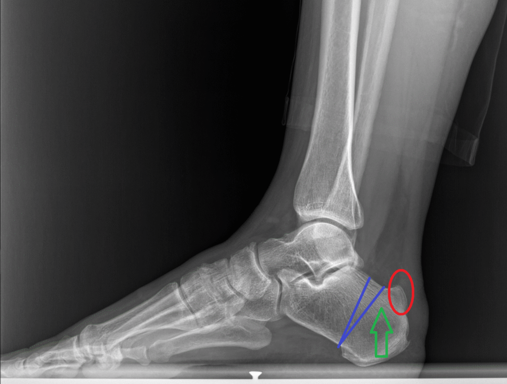
- Röntgen (Basarak grafi): Topuk kemiğinde Haglund deformitesi izlendi.
- MR ve BT:
- Aşil tendon insersiyonunda tendinopati
- Retrocalcaneal bursit
- Haglund deformitesi teyit edildi.

Preoperatif MRG ve röntgenler

Preoperatif MRG ve röntgenler
💊 Önceki Tedavi
Hasta, ayakkabı düzenlemeleri, egzersiz programı ve ilaçlar gibi konservatif tedavi yöntemlerinden fayda görmedi.
🛠️ Uygulanan Cerrahi Tedavi

Cerrahi planlama ve osteotomi şeması
- Zadek osteotomisi: Kalkaneusun arka kısmından kama çıkarılarak kemik çıkıntısı düzeltildi.
- Aşil tendonundaki dejeneratif kısım temizlendi.
- Çift sıra tamir (suture-bridge): Tendon sağlam bir şekilde topuk kemiğine yeniden tutturuldu.
- Ameliyat sonrası atel ile takip edildi.

Postoperatif röntgen görüntüleri
🚶♀️ Ameliyat Sonrası Süreç
- 1,5 ay sonra kademeli yük verilerek mobilizasyona başlandı.
- 3. ay kontrolünde: Hasta ağrısız, normal yürüyüş ile günlük hayatına döndü.
🎯 Tedavide Amaç
- Ağrıyı gidermek
- Aşil tendonu üzerindeki basıyı azaltmak
- Hastanın günlük yaşamına ve yürüyüşüne sağlıklı şekilde dönmesini sağlamak
Haglund deformitesi için detaylı bilgi için tıklayınız.
